Broneeri hambaravi aeg
Hügieen ortodontilise ravi ajal
Hammaste hügieen ortodontilise ravi ajal
Breketid koguvad väga hästi toidujääke ja soodustavad hambakatu moodustumist. Kattu koguneb rohkem hambavahedesse, mälumispindade vagudesse ja igemeservadesse, breketravi ajal aga lisaks ka breketite ja nuppude ümber, kaare ja vedrude alla ning võru servade äärde. Kui hambakattu ei eemaldata, võib see tekitada hambakivi, hambaauke, hambaemaili lagunemist ja igemeprobleeme. Seetõttu on hügieen ortodontilise ravi ajal ääretult oluline.
Hambaid tuleb harjata põhjalikult hommikul (kindlasti peale hommikusööki) ja õhtul enne magamaminekut. Soovitatav on puhastada hambaid peale iga söögikorda või vähemalt loputada suud korralikult veega. Peale hammaste pesemist kontrolli tulemust peeglist. Kui breketi ümber on veel toiduosakesi, tuleb hambaid uuesti harjata.
Breketite kandjatele on olemas spetsiaalne V-kujulise sisselõikega hambahari – välimised harjased on natuke pikemad kui keskmised. Selline hambahari lihtsustab hammaste pesemist breketite ümbert. Hästi sobib nt Oral B Ortho hambahari.
Võib kasutada ka elektrilist hambaharja, kuid tuleb jälgida, et harja plastikust pea ei lööks vastu breketeid.
Pesemisel peavad hambaharja harjased paiknema hamba pinnaga 45° nurga all suunaga igeme poole, kasutada tuleks ringjaid edasi-tagasi liigutusi. Esihammaste sisepinda puhastades hoia hambaharja käes vertikaalselt ning liiguta üles ja alla.
Hügieen ortodontilise ravi ajal ja sobivad vahendid
Hambaemaili tugevdamiseks on soovitatav kasutada fluoriidi sisaldavat hambapastat. Kõrgendatud kaariese riski korral võib hambaarst lisaks soovitada fluoriidi sisaldavat suuvett. Ortodontilistele patsientidele sobib kõige paremini hambakatu eemaldamist lihtsustav suuloputusvedelik (anti-plaque).
Saadaval on ka spetsiaalsed nn ortodontilised hambapastad, milles sisalduvad toimeained aitavad vähendada breketite põhjustatud limaskesta ärritust ning soodustavad limaskesta kiiremat paranemist.
Interdentaalharjad
võimaldavad juurdepääsu raskesti ligipääsetavatesse kohtadesse, nagu hambavahed. Ühtlasi on need head abivahendid puhastamiseks breketite vahelt ja ortodontilise kaare alt.

Kasuta hambaniiti
Kord päevas tuleb kasutada hambaniiti. Eelistada tuleks Superflossi. Erinevalt tavalisest hambaniidist on Superflossi pakendis juba valmis lõigatud vajaliku pikkusega niidid. Niit koosneb kolmest erinevast osast. Esimene osa on tavaline hambaniit. Keskmine osa on natuke paksem ja karvasem ning selle abil on mugav puhastada hambakattu ortodontiliste aparaatide alt. Lisaks on Superflossil jäigem ots, mis kergendab niidi viimist breketiaparatuuri alla.
Vaata videot hambaniidi kasutamise kohta .
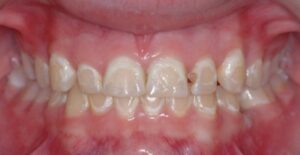
Hooletu suhtumise tagajärjed
Hooletu suhtumine hügieeni breketravi ajal põhjustab paremal juhul valkjate laikude tekkimist hammaste peale. Dekaltsifikatsioonilaigud on eriti nähtavad peale breketite eemaldamist. Halvemal juhul võivad tekkida kaaries ja igemeprobleemid. Laigud võivad aja jooksul pigmenteeruda ja omandada kollakas-pruuni värvuse. Tegemist on püsiva kahjustusega.

Vaata ka videot.
Halva hügieeni ja igemepõletiku tõttu liiguvad hambad aeglasemalt ja ravi kestus pikeneb. Pideva ebapiisava hügieeni korral võib tekkida vajadus ortodontiline ravi enneaegselt lõpetada, et vältida ulatuslikumate hambakahjustuste põhjustamist.
Loe rohkem meie teiste teenuste kohta siit.
Loe rohkem ortodontia kohta siit.