Broneeri hambaravi aeg
Laminaadid
Laminaadid on imeõhukesed keraamilised plaadikesed ( 0,3- 0,5 mm), mis liimitakse hamba peale. Tavaliselt kinnitatakse need esihammastele. Laminaate valmistatakse keraamikast ja nende välimus ja omadused on sarnased oma hambaga. Kui veel kümnend tagasi kasutati hambaravis palju metalli, siis tänaseks on toimunud kiire areng materjaliteaduses ning rõhk on kaasaegsetel biomaterjalidel, mille kasutamine ei nõua nii suurt hambakudede lihvimist. Hammaste pikaajalise tervise ja vastupidavuse seisukohalt on oluline just see, kui palju õnnestub säilitada patsiendi loomulikku hambakudet. Laminaatide paigaldamiseks on vaja hammast veidi lihvida, et lõpptulemuses säilitada hammaste normaalne paksus. Laminaatidega saab edukalt parandada hammaste kuju ja värvi.
Kuidas laminaate paigaldatakse
- Hammastest võetakse esialgsed jäljendid – kas digitaalne või analoog. Jäljenditest valatakse hambalaboris välja kipsmudel, millele hambatehnik valmistab laboris wax-up’i. See on esialgne visioon, kuidas võiks hambad lõpptulemusena paista. Kui välja pakutud lahendus sobib, võib teha ajutised, nn. proovilaminaadid ehk mock-up’i, et patsient saaks proovida ja harjuda eeldatava lõpptulemusega.
- Hambaarst teostab hammaste “lihvimise”, võetakse jäljendid, valitakse tulevaste laminaatide värv ja asetatakse hammastele ajutised laminaadid kuni lõpliku töö valmimiseni.
- Nädal hiljem liimitakse laminaadid spetsiaalse liimiga hambale.
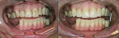
Paigaldatud täiskeraamilised laminaadid – enne ja pärast:

Loe rohkem meie teiste hambaravi teenuste kohta siit.