Hammaste juureravi | Sakala Hambaravi Tallinnas

Juureravi

Mis hambad vajavad juureravi

Juureravi vajavad hambad, mille hambasäsi/pulp (närvid, veresooned) on pöördumatult kahjustunud.

Juureravi Sakala Hambaravis

Kahjustus on tavaliselt põhjustatud bakteritest, mis on tunginud hamba närvini kas sügava hambaaugu või haige igemetasku kaudu.

Hammas, mis tõenäoliselt vajab juureravi, on väga tundlik külmade-kuumade söökide/jookide suhtes või on hammustamisel hell.

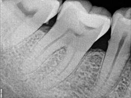
Mõnikord esineb ka kroonilist, sümptomiteta põletikku juba ravitud hammaste all. Selle diagnoosimiseks tehakse hammaste kontrolli käigus panoraamülesvõte.

Juureravi eesmärgiks on juurekanalisüsteemi puhastamine haigustekitajatest ning kanalivalendike tihe täitmine takistamaks bakterite tagasitungimist.

Vaata siit, mida kujutab endast juureravi – https://www.youtube.com/watch?v=TnV5NeC4UDI

Juurekanal on hambajuures asuv peenike kitsas käik, milles kulgevad hamba närvid, veenid, arterid ja lümfisooned. Sõltuvalt juurte arvust võib hambal olla 1 kuni 4 juurekanalit, vahel ka rohkem.

Juureravi teostava hambaarsti parimaks töövahendiks on mikroskoop, millega näeb hamba sees olevaid juurekanaleid ning mis võimaldab leida ka väga kitsaid kanaleid, mida palja silmaga näha ei ole võimalik.

Põhjused, miks hammas valutab (ja vajab juureravi):

Hambanärvipõletik ehk pulpiit:

tekib siis, kui hambakaaries on ravimata jäänud. Bakterid/mikroobid jõuavad hambanärvini ja põhjustavad põletikku, mis võib kulgeda ägedalt (valuga) või krooniliselt (valutult).

Pulpiit

Kui pulpiiti õigel ajal ei ravita, tekib hamba juureümbrise põletik ehk periodontiit. Ka see võib kulgeda ägedalt (valuga) või krooniliselt (valutult). Enamasti on selles etapis võimalik ka juba röntgenpildilt näha muutusi hammast ümbritsevas luukoes.

Äge periodontiit (äge hamba juureümbrise põletik):

Sümptomid on tugev hambavalu, hellus kokkuhammustamisel (söömisel) või survel. Esialgu on valu pidev, tuikav ning valu põhjustav hammas on kergelt identifitseeritav. Haiguse süvenedes läheb valu tugevamaks ja võib kiirguda  naaberhammaste piirkonda. Ige hamba juuretipu piirkonnas võib olla turses ning sinna võib tekkida ka „mädapunn“.

Krooniline periodontiit (krooniline hamba juureümbrisepõletik):

võib kulgeda ilma sümptomiteta, ilma valuta. Aeg-ajalt võib tekkida igemele hamba juuretipu piirkonda fistel, millest eritub veidi mäda. Juureümbrise põletikku on võimalik diagnoosida röntgenpildilt. Seal on näha muutused juuretippu ümbritsevas koes. Selline hammas vajab kindlasti ravi, hoolimata sellest, et ta ei põhjusta sümptomeid.

Erilist tähelepanu hammaste kroonilistele põletikele tuleb pöörata nende inimestel, kes põevad südame-veresoonkonna haigusi või kellele on pandud kunstliigesed.

Tavaliselt esimesel visiidil puhastatakse hammas karioossest koest (pehme hambakude), vajadusel ehitatakse üles hambaseinad, et asetada hambale kofferdam (spetsiaalne kumm, mis kaitseb selle eest, et bakterid ei pääseks suust hambasse ja ravimid ja loputuslahused ei satuks patsiendile suhu) ja laiendatakse juurekanaleid, misjärel asetatakse hambasse antibakteriaalne ravim ja suletakse hambaõõs tihedalt ajutise täidisega.

Järgneval visiidil tehakse juuretäidis, millega suletakse tihedalt hambas olevad juurekanalid. Hammas taastatakse peale juureravi kas täidise või krooniga (sõltuvalt sellest, kui hävinenud on hamba krooniosa).

Krooniline periodontiit

Juureravi ei ole alati edukas:

Selle põhjuseid võib olla palju. Näiteks ei ole hambaarstil õnnestunud leida kõiki juurekanaleid. Selle tulemusena jäävad ravimata juurekanalitesse bakterid, mis põhjustavad põletiku taastekke. Mõnede juurekanalite suudmed on nii väikesed, et neid ei ole võimalik palja silmaga näha. Selliste olukordade jaoks on asendamatuks abiliseks mikroskoop.

Mõnikord võib juurekanalisse murduda instrument, millega juurekanalit puhastatakse. Murdunud instrumendi eemaldamine juurekanalist on keeruline ja seda lihtsustab mikroskoop, kuid alati pole see ka mikroskoobi all töötades võimalik.

Ravi käigus võib ravitav hammas alguses muutuda tundlikuks või isegi valutada. Sümptomid kaovad tavaliselt paari päevaga. Vajadusel võib võtta valuvaigistit. Pärast juureravi on väga oluline taastada hermeetiliselt hambakroon, et vältida uuesti mikroobide kokkupuutumist tehtud juuretäidisega.

Loe rohkem meie teiste hambaravi teenuste kohta siit.