ЗАБРОНИРОВАТЬ ВРЕМЯ
Лечение корней
Почему зубам необходимо лечение корневых каналов
В лечении корней нуждаются те зубы, пульпа которых (нервы, кровеносные сосуды) необратимо повреждены.
Повреждения обычно обусловлены проникновением бактерий в пульпу до самого нерва – через глубокую кариозную полость или нездоровый десневой карман.
Зуб, который, по всей вероятности, требует корневого лечения, очень чувствителен к горячей и холодной пище/напиткам или наблюдается болезненность при кусании.
Иногда встречаются бессимптомные хронические воспаления в уже залеченных зубах. Это диагностируется при помощи панорамной рентгенограммы в ходе контроля состояния зубов.
Целью лечения корней является чистка системы корневых каналов от возбудителей заболеваний и плотное заполнение просвета каналов для предотвращения повторных инфекций.
http://www.youtube.com/watch?v=TnV5NeC4UDI
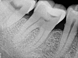
Корневой канал – это тонкий просвет в корне зуба, через который проходят нервы, вены, артерии и лимфатические сосуды. В зависимости от количества корней зуб может иметь от 1 до 4 каналов, а иногда и больше.
Лучшим рабочим инструментом стоматолога при лечении корней является микроскоп, при помощи которого хорошо просматриваются находящиеся внутри зуба каналы. Микроскоп обеспечивает возможность обнаружить даже очень узкий канал, невидимый невооруженным глазом.
Причины зубной боли (и потребности в лечении корней):
Пульпит, или воспаление зубного нерва: возникает при незалеченном зубном кариесе, когда бактерии/микробы проникают до зубного нерва и вызывают воспаление, которое может протекать либо в острой форме (с болью), либо в хронической (без боли).

Если пульпит вовремя не вылечить, то возникает воспаление околокорневых тканей зуба, т.е. периодонтит. Он тоже может протекать остро (с болью) или хронически (безболезненно). Как правило, на этом этапе на рентгеновском снимке уже видны изменения в окружающей зуб костной ткани.
Острый периодонтит (острое воспаление околокорневых тканей):
симптомами являются сильная зубная боль, чувствительность при сжимании зубов (во время еды) или при надавливании. Первоначально боль имеет постоянный, пульсирующий характер и вызывающий боль зуб легко определить. По мере прогрессирования заболевания боль становится сильнее и может отражаться на области соседних зубов. Десна в области верхушки корня может быть отечной, вдобавок на ней может возникнуть «гнойный мешочек».
Хронический периодонтит (хроническое воспаление тканей вокруг зубного корня):
может протекать без симптомов и без боли. Время от времени в десне возле корня зуба может образовываться свищ, из которого выделяется немного гноя. Периодонтит может быть диагностирован по рентгеновским снимкам. На них видны изменения в тканях, окружающих верхушку корня. Такой зуб непременно нуждается в лечении, несмотря на то, что он не вызывает никаких симптомов.
Особое внимание на хронические воспаления зубов следует обращать людям, которые страдают сердечно-сосудистыми заболеваниями или которым поставлены искусственные суставы.
Обычно при первом визите зуб очищают от кариозных тканей (мягкая зубная ткань), при необходимости надстраивают стенки зуба, чтобы наложить на зубы коффердам (специальная резиновая прокладка, которая защищает зуб от проникновения бактерий из ротовой полости и препятствует попаданию лекарств и промывных растворов в рот пациента) и расширяют корневые каналы, после чего в зуб помещают антибактериальное лекарство и плотно закрывают полость зуба временной пломбой.
При последующем визите в корень помещают наполнитель, которым плотно закрывают корневые каналы. После корневого лечения зуб восстанавливают при помощи пломбы или коронки (в зависимости от того, в какой степени разрушена коронка зуба).

Лечение корней не всегда бывает успешным:
Причин этому может быть много. Например, стоматолог не смог найти все корневые каналы. В результате в необработанных корневых каналах остаются бактерии, которые вызывают повторное воспаление. Устья некоторых корневых каналов могут быть настолько малы, что их невозможно увидеть невооруженным глазом. Незаменимым помощником в таких ситуациях является микроскоп.
Иногда в корневом канале может сломаться инструмент, которым его очищали. Удаление сломанного инструмента из корневого канала – это сложная процедура. Микроскоп упрощает ее проведение, но не всегда возможно ее осуществить, даже работая под микроскопом.
Подвергающийся лечению зуб может вначале стать чувствительным или даже болеть. Эти симптомы обычно исчезают в течение нескольких дней. При необходимости можно принять обезболивающее. После лечения корневых каналов очень важно восстановить герметичность коронки зуба, чтобы предотвратить повторное воздействие микробов на корневой наполнитель.
