Broneeri hambaravi aeg
Igemehaiguste diagnoosimine
Igemehaiguste õigeaegne diagnoosimine on oluline ja parandab ravi tulemust. Tihti ei pane patsiendid igemehaiguste sümptomeid ise tähele ja jõuavad ravile alles siis, kui hambad hakkavad liikuma või kui mõnda hammast pole võimalik enam päästa. Selleks on oluline tõsta nii patsientide kui ka hambaarstide seas teadlikkust, et märgata hamba kinnituskudede põletiku varajasi märke ja korrigeerida koduseid hügieenivõtteid, et suuremaid probleeme ennetada. Igemehaiguste diagnoosimiseks kasutatakse igemetaskute mõõtmiseks ja ladestuste tuvastamiseks mõeldud spetsiaalselt millimeetritega märgistatud tömbi otsaga sondi. Selliselt saab igemetaskud nö „üle mõõdistada“ ning koostada parodontaalstaatus. Selle abil saab kindlaks määrata haiguse ulatuse ning planeerida edasist ravi. Lisaks tuvastame sellega veritsuse ja katu olemasolu hammaste ümber, hammaste anatoomia iseärasused ning hammaste liikuvuse.

Igemehaiguste diagnoosimine ja parodontaalne röntgenuuring
Teiseks oluliseks osaks diagnoosimise juures on parodontaalne röntgenuuring, mis koosneb enamasti 20-st kohtülesvõttest, kus on täpselt näha iga hamba ümber luukao ulatus ja iseloom (kas luu on kadunud ühtlaselt või on tekitanud hammaste ümber erineva sügavusega defekte). Panoraamröntgen on hea uuring, et näha lõualuusüsteemi üldist seisu, kuid täpsemaks ravi planeerimiseks jääb sellest enamasti väheks.
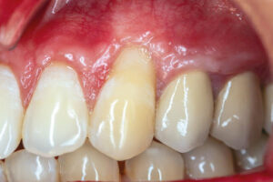
Suusisesed fotod
Kolmandaks osaks diagnoosimisel ja ravi planeerimisel on suusisesed fotod. Tihti märkab hiljem fotosid vaadates probleeme, mis kohe silma ei paista. Kuna parodontiidihaiguste ravi on enamasti pikk ja keeruline, ei pruugi lõpuks enam meeles olla, kuidas esialgne seis välja nägi. Selleks, et oleks võrdlusmoment ravi alguse ja vahepealsete etappidega, on fotod väga kasulikud. Kuna tihti on parodontiidiga patsientidel probleeme nii puuduliku esteetikaga, hammaste positsioonimuutustega kui ka puuduvate hammastega, mis vajaksid asendamist, on hea fotodega anda edasi informatsiooni ka teiste hambaravi valdkondade spetsialistidele. Selliselt vähendame ka patsiendi jooksutamist ühe arsti juurest teise juurde.
Parodontiidi ravi
- Parodontiidi ravi eesmärk
- Mitte-kirurgiline parodontiidi ravi
- Kirurgiline parodontiidi ravi
- Kirurgiline hambakrooni pikendus
- Mukogingivaalkirurgia
- Säilitav ravi
- Ravi kõrvaltoimed ja nende lahendamine
- Kui diagnoos ja ravi jäävad hiljaks
Loe rohkem meie teiste teenuste kohta siit.
Loe rohkem suutervise kohta siit.