Broneeri hambaravi aeg
Kirurgiline hambakrooni pikendus
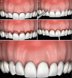
Mis on kirurgiline hambakrooni pikendus ja mis on selle näidustus? Üheks näidustuseks on olukord, kus täidise asetamisel või hambakrooni tsementeerimisel selgub, et terve hambakoe piir jääb igeme alla ja seda pole võimalik isoleerida selliselt, et piirkonda ei satuks sülge, verd või igemetasku vedelikku. Sellistes tingimustes ravitud hambad on alati suurenenud kaariese taastekke riskiga.
Veel on oluline, et röntgenilt oleks näha, et proteesi/täidise piirist jääks luupiirini vähemalt 3 -4 mm tervet hambakudet. Kui täidise/krooni piir jääb liiga lähedale luupiirile, ei jätku seal ruumi pehme koe kiudude kinnitumiseks (need peavad kinnituma hamba juure pinnale) ning selle piirkonna ige jääb alati põletikuliseks või tekib seal luukadu, et ära mahutada pehme koe kiudude tsoon.
Kui proteesimisel selgub, et tervet hambakudet on liiga vähe, et saavutada tulevase hambakrooni püsivus.
Esteetilistel näidustustel eeshammaste osas (nö „igeme naeratus“), kui naeratades paljastub lisaks hammastele liiga palju iget.
Kirurgiline hambakrooni pikendus

Üldised juhised, pärast suuoperatsiooni
Kuna nädala jooksul pärast kirurgilist sekkumist esineb verejooksu oht, peab vältima või vähemalt piirama sellel ajal:
- Füüsilist koormust (raskuste tõstmine, ettepoole kummardamine)
- Saunas, vannis ja solaariumis käimist, päevitamist, taastusraviprotseduure, lennureise, pikemaid sõite autoga
- Ei tohi nina nuusata, kui arst ütles, et oli ühendus suuõõne ja põskkoopa vahel
- Ärge katsuge haava sõrme, keele ega mingi esemega, ärge imege haava. Ei tohi haavale asetada pulbreid, tablette, tilku (taruvaik, teepuu õli), sest see võib põhjustada põletikku ja veritsust
- Paari päeva jooksul mäluge vastassuupoolega. Toit peab olema valgu-, vitamiini- ja mineraaliderikas, samuti pehme, leige või jahe. Vältige süsivesikute rikast toitu. Kõvemale toidule võib üleminna siis, kui selle söömine ei tekita valu
- Haava piirkonnast võib immitseda verd postoperatiivselt 3-4 päeva jooksul. Paari-kolme tunni pärast peale operatsiooni, tuimestuse möödudes hakkab haav reeglina rohkem veritsema. Jätkuva veritsuse korral asetage 30 minutiks steriilset marlitampooni haava peale ja suruge lõualuud kõvasti kokku
- Jääkoti hoidmine põse piirkonnas võib vähendada turse teket
- Mitte mingil juhul ei tohi sooja, niisket kompresse teha näo piirkonnas (kummeli-, viinakompressid jms), sest see võib verejooksu ja tugevat turset esile kutsuda
Parodontiidi ravi
- Diagnoosimine
- Parodontiidi ravi eesmärk
- Mitte-kirurgiline parodontiidi ravi
- Kirurgiline parodontiidi ravi
- Mukogingivaalkirurgia
- Säilitav ravi
- Ravi kõrvaltoimed ja nende lahendamine
- Kui diagnoos ja ravi jäävad hiljaks
Loe rohkem meie teiste teenuste kohta siit.
Loe rohkem suutervise kohta siit.