Broneeri hambaravi aeg
Mitte-kirurgiline parodontiidi ravi
Parodontiidi ravi esimene etapp on alati mitte-kirurgiline parodontiidi ravi. See koosneb hügieeniõpetusest, igemepealse ja igemealuse hambakivi eemaldamisest ning vajadusel „lootusetu“ prognoosiga hammaste eemaldamisest. Diagnostiliste menetluste käigus määrame selgeks haiguse ulatuse ja raskusastme ning selle alusel planeerime hammaste sügavpuhastuse kas 2, 4, või 6 visiidi jooksul. Kui hammastel esineb rohkelt hambakivi ja –kattu tuleks eelnevalt teostada ka esmane suu puhastus suurematest ladestustest, et sügavpuhastuse visiidil oleks vähem igemete veritsust, parem nähtavus ja hambapindade kontrollitavus. Hambakivi sügavpuhastust teostame enamasti tuimastusega ning selle eesmärgiks on eemaldada võimalikult palju igemepealset ja alust hambakivi, saavutades puhtad hambapinnad. Instrumendid, mida selleks kasutame on ultraheli otsikud ja kürettid.

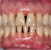
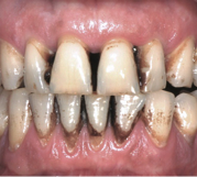
Enne ja pärast

Kui tegemist on kaugelearenenud ja agressiivse parodontiidiga kasutame mitte-kirurgiliseks raviks intensiivsemat ravimeetodit. Selleks, et võimalikult palju vähendada korraga bakteriaalset koormust suuõõnes, viime läbi sügavpuhastuse kogu suus 2 pikal visiidil 24 tunni jooksul, et bakterid ei jõuaks puhastatud alasid uuesti koloniseerida. Lisaks toetame sellist puhastust antimikroobsete vahenditega (kloorheksidiini sisaldavad loputused kodus ja geeliga igemetaskute loputus puhastuse järgselt ravikabinetis) ning nädalase süsteemse antibiootikumikuuriga. Sellise ravimeetodi tulemuseks on enamasti igemetaskute ja veritsuse radikaalne vähenemine ja igemete taandumine. Tihti on pärast seda vajalik veel konventsionaalne igemetaskute sügavpuhastus (2, 4 või 6 visiidi jooksul).
Laser adjunktiivne ravi
Viimastel aastatel on palju tehtud uuringuid, et leida kas laserteraapia võiks asendada tulevikus traditsionaalse parodontiidi ravi. Hetke seisuga on olemas vähesed tõendid, et Nd:YAG ning Er:YAG lainepikkusega laseritel võib olla kroonilise parodontiidi ravis efektiivne toime. Need tõendid on hetkel veel minimaalsed ning hetkel otsitakse pigem, kas laseri kasutamine lisaks traditsionaalsele juurepinna puhastamisele omab positiivset lisaefekti.
Mitte-kirurgiline parodontiidi ravi järelkontroll
Pärast esmase mitte-kirurgilise ravi lõppu tuleks läbi viia järelkontroll, mille käigus hinnatakse uuesti igemete seisu (veritsus, kambakatt, igemetaskute sügavus, igemete taandumine, furkatsiooni defektid, hammaste liikuvus). Selleks ajaks võiksid olla lõpetatud ka vajalikud kaariese ja juureravi tööd. Järelkontroll toimub 1,5 – 2 kuud pärast esmase mitte-kirurgilise ravi lõppu. Teostatakse uuesti igemetaskute mõõdistamine ja fotod.
Nende andmete põhjal tuleb otsustada, kas on vaja läbi viia korrigeerivat ravi e. parandada probleeme, mis on tekkinud põletikuprotsessi käigus. Eriti on selleks vajadus patsientidel, kel esineb mõõdukas, kuni kaugele arenenud progressiooniga, parodontiit. Korrigeeriva ravi faasi saab alustada vaid patsientidel, kelle veritsuse ja hambakatu protsentuaal on langenud all 20%, teatud ravimeetodite puhul isegi <10%. Vastasel juhul tuleb jätkata mitte-kirurgilise ravi ja koduse hügieeniõepetusega, kuni need nõuded on täidetud. Teaduslikud uuringud on kindlaks teinud, et kui viia läbi kirurgilist ravi patsientidel, kelle igemete põletikunäitajad on kõrgemad kui lubatud, võib kinnituskudede olukord veelgi halveneda.
Korrigeeriva ravi faas võib koosneda parodontiidi kirurgilisest ravist, ortodontilisest ja proteetilisest ravist. Selles faasis tuleb teha interdistsiplinaarne raviplaan erinevate hambaravi valdkonna spetsialistide poolt.