Broneeri hambaravi aeg
Kaugele arenenud parodontiit
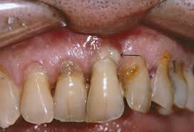
Räägime siin lähemalt, mis on kaugele arenenud parodontiit. Seda esineb arenenud riikides 5-15% populatsioonist. Sel juhul on tegemist organismi ägeda immuunvastusega spetsiifiliste bakterite suhtes, mis kutsub esile põletikuvastuse, mille kaudu organism püüab end kaitsta. Lihtsamalt öeldes, toimub luu kadu bakteriaalsete kogumite ümbruses, et välistada nende tungimist luukoesse ja sealt edasi verre ja teistesse kudedesse. Sarnane organismi kaitsemehhanism toimub ka mõõduka ja kerge parodontiidi vormi puhul, kuid märksa aeglasemalt.
Parodontiit ja kindlasti ka kaugele arenenud parodontiit on üldisemalt mikroobidest põhjustatud põletikuline haigus, mis kurnab keha. Parodontiiditekitajad mikroobid võivad siseneda vereringesse ning rännata teiste elutähtsate organiteni ning põhjustada seal põletikke.

Kaugele arenenud parodontiit ja agressiivne parodontiit
Agressiivne parodontiit on hamba kinnitusaparaati kahjustav raske krooniline põletik, mille tagajärjel võivad hambad hakata liikuma. See viib tihti hilisema hammaste kaotuseni. Haiguse kergemaid ja mõõdukaid vorme esineb sageli, aga need ei tekita olulisi probleeme. Agressiivset ja ravile raskesti alluvat parodontiiti täheldatakse harva, aga siiski seda esineb.
Võrreldes teiste igemehaigustega on agressiivne parodontiit eriti raske ja kiire progressiooniga (arenenud riikides 0,5-1% populatsioonist). See haigus võib haarata kõigis vanustes patsiente, sh tihti algab eelpuberteedi eas. Seda iseloomustab perekondlik taust ja väga kiire kinnituskudede kadu. Tihti on pole haiguse ulatus korrelatsioonis hammastel oleva katu hulgaga. Diagnoosimata ja ravimata võib juba enne 20.-dat eluaastat hakata hambaid kaotama.
Liikuvaid hambaid on võimalik osaliselt fikseerida erinevate lahaste abil või need eemaldatakse ning võimalusel asendatakse implantaathammaste või proteesidega. Soovitatakse ka üldtugevdavaid protseduure ning kindlasti tuleb loobuda suitsetamisest ja teistest kahjulikest harjumustest. Lähemalt selgitab meie kliinikus võimalikke raviplaane vastava eriala spetsialist hambaarst-parodontoloog. Lisainformatsiooni meie parodontoloogide kohta leiad personali lehelt.
Tänapäevaste ravimeetoditega suudetakse haigus mõnevõrra peatada, kuid igemekudesid pole võimalik täielikult taastada.
Parodontiidi ravi
- Diagnoosimine
- Parodontiidi ravi eesmärk
- Mitte-kirurgiline parodontiidi ravi
- Kirurgiline parodontiidi ravi
- Kirurgiline hambakrooni pikendus
- Mukogingivaalkirurgia
- Säilitav ravi
- Ravi kõrvaltoimed ja nende lahendamine
- Kui diagnoos ja ravi jäävad hiljaks
Loe parodontoloogia kohta rohkem siit.
Leia rohkem infot siit.