Broneeri hambaravi aeg
Kerge ja mõõduka levikuga parodontiit
Mis on kerge ja mõõduka levikuga parodontiit ja igemehaiguste diagnoosimine
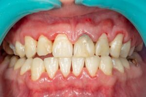
Kerge ja mõõduka levikuga parodontiit esineb umbes 40% inimestest. Selle haiguse kulg on enamasti krooniline ning selle käigus imenduvad aegamisi ära hambaid ümbritsev luu ning hammast luu sees hoidvad sidekoe kiud. Haigusele omane sümptomaatika kujuneb välja aastatekümnetega ning kui õigel ajal ei alustata ennetuse ja raviga võib lõpuks luukadu jõuda selleni, et ige hammaste ümber taandub ja hambad muutuvad näiliselt pikemaks ja tundlikumaks. Haiguse progresseerudes võib lõpuks ka hammastest ilma jääda.
Kerge ja mõõduka levikuga parodontiit

Igemehaiguste diagnoosimine ja parodontaalne röntgenuuring
Teiseks oluliseks osaks diagnoosimise juures on parodontaalne röntgenuuring, mis koosneb enamasti 20-st kohtülesvõttest, kus on täpselt näha iga hamba ümber luukao ulatus ja iseloom (kas luu on kadunud ühtlaselt või on tekitanud hammaste ümber erineva sügavusega defekte). Panoraamröntgen on hea uuring, et näha lõualuusüsteemi üldist seisu, kuid täpsemaks ravi planeerimiseks jääb sellest enamasti väheks.
- Diagnoosimine
- Parodontiidi ravi eesmärk
- Mitte-kirurgiline parodontiidi ravi
- Kirurgiline parodontiidi ravi
- Kirurgiline hambakrooni pikendus
- Mukogingivaalkirurgia
- Säilitav ravi
- Ravi kõrvaltoimed ja nende lahendamine
- Kui diagnoos ja ravi jäävad hiljaks
Loe parodontoloogia kohta rohkem siit.
Leia rohkem infot siit.
Visiidiaja broneerimiseks vajuta siia või võta ühendust meie registratuuriga numbril 5335 99 66.